Endodontics
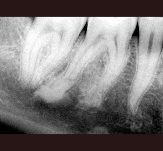
The MB Root: Case # 1
The mesial roots of maxillary molars and lower molars are the most challenging and variable of root canal shapes and types. This single root may have a multitude of root canals and I have seen anywhere from 1 to 4 canals in this single root. As endodontists we have the education, skills and equipment to…
Read MoreEndodontic Treatment: Case #12- Four canalled lower first molar.
Unique parts are that there are 3 canals of the mesial root that join to one common apex (root end).
Read MoreEndodontic Treatment: Case #11
Three canalled lower molar with lateral canals and inter connections between the mesial root systems. This is achieved using high volume of irrigation and warm vertical compaction of our root canal filling material (gutta percha).
Read MoreEndodontic Treatment: Case #10 – 4 canalled lower first molar with 2 distals and 2 mesial canals with a common apex of the mesial root system.
MB and ML join at the apex with inter connections of the two root systems (anastamosis).
Read MoreEndodontic Treatment: Case #9- Interesting root anatomy and diagnosis.
There were 4 separated canals with 4 independent roots. This tooth was diagnosed as asymptomatic irreversible pulpits with a secondary condensing osteitis. The white opaque bone at the apexes of the roots will return to normal looking bone in a few years.
Read MoreEndodontic Treatment: Case #8 – recently prepared for a crown. The patient has cold sensitivity and was referred for treatment.
Interesting features was a third molar with 3 canals joining to a single canal at the end of the roots (apex).
Read MoreEndodontic Treatment: Case #7- Very unique tooth with lots of canals (this was a dentists tooth!)
Seven canals were located, cleaned, shaped, disinfected, sealed and had an amalgam core build-up. This tooth was featured and published in a dental journal.
Read MoreEndodontic Treatment: Case #6- Necrotic (dead nerve) tooth with no pain referred for treatment.
Four canalled lower second molar with four in-depended root canals. A 12 month re-evaluation shows good bone healing.
Read MoreEndodontic Treatment: Case #5 – Necrotic (dead nerve) tooth with biting pain.
Four canalled lower first molar. Most distal roots of lower molars should be treated as if they always have two canals in them. The root canal was completed and restored with blue build-up composite by request of his general dentist prior to a new crown being made.
Read MoreEndodontic Treatment: Case #4 – Patient presented for root canal therapy referred to our office due to complex root anatomy.
Most notable about this case was that the canals were severely curved and almost a 90 degree on the back (distal canal) with lots of sealer puffs on all the roots.
Read More